近日,茂名市人民医院创伤骨科团队成功应用3D打印智能辅助技术,完成了一例高难度复杂跟骨骨折畸形愈合截骨矫形手术。该术式在粤西地区尚属首次应用,标志着区域骨科技术取得新突破。四个月前,12岁少年小宇(化名)因意外高处坠落导致全身多处骨折...
“医生,我的腿骨折了,痛了几天了,为什么还不给我安排手术呢?”“医生,我家孩子的手骨折后都肿成这样了,怎么还不给他安排手术啊?”日常生活中,当意外发生骨折时,许多人会本能地认为:“骨头断了,当然要赶紧手术接上!”而如果医生此时不直...
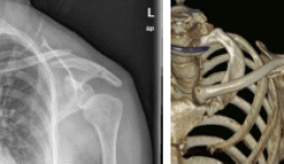
近日,茂名市人民医院创伤骨科团队成功运用“天玑”骨科手术机器人为一名左锁骨骨折的中年女性患者实施微创手术,这是该院创伤骨科团队运用骨科手术机器人进行术式创新的又一次成功尝试。前不久,41岁的患者梁姨在家中意外跌倒,本以为只是小伤,却...
一条仅1厘米长的切口,加上一枚“螺钉”,通过微创手术就能解决扁平足儿童长期以来的烦恼。近日,茂名市人民医院创伤骨科肖进教授团队为一名12岁的扁平足儿童实施微创手术——距下关节稳定术,成功帮助其矫正扁平足症状,摆脱病痛困扰。足底隐痛长...
为呼吁更多人关注儿童生长发育健康,同时使家长们更深入地了解儿童生长发育知识,及时发现和解决儿童成长过程中遇到的问题,7月6日正值暑假期间,茂名市人民医院举办“健康成长儿科有约”大型多学科联合义诊活动。此次活动集结了医院普儿科、临床营...
“我家小孩好像有点早熟?”“我家孩子比同龄人矮半截?”矮小、性早熟、儿童肥胖等成为儿童生长发育过程中不可忽视的健康问题,已成为各位家长的焦点,为进一步普及健康科学知识、提高儿童健康素养、促进儿童健康成长,近日,茂名市人民医院儿科、...
“康复速度真快!做完手术第二天,我就能在医生的帮助下活动,对受伤的髋关节进行功能锻炼了。”近日,不慎从高处坠落、导致两处严重骨折伤市民梁先生(化名)在茂名市人民医院创伤骨科天玑骨科手术机器人的辅助治疗下,顺利地恢复了健康。对于骨科...