看茂医|逆向“搭桥”,为患者打通心脏“生命线”
70岁的李伯(化名)患有尿毒症长期透析治疗6年多,2年前又不幸患上严重的冠心病,顽固的心绞痛发作时,多次伴发急性左心衰竭需要入院抢救。今次是在外地医院行冠脉造影检查后,李伯的心衰再次加重,经过医生评估需要进行冠脉慢性闭塞病变(CTO)介入手术才有希望在根本上改善心脏情况,遂转至茂名市人民医院心血管内科……
如果说普通冠状动脉介入手术,如同疏通积雪积冰的道路,那CTO介入手术就像在坍塌的隧道里重新通路,不仅难度大、风险高,而且对医生技术要求严苛。茂名市人民医院副院长、心血管内科学科带头人陈哲林率领团队,对患者及其家属的信任拼尽全力,成功完成了手术,重新联通了坍塌已久的右冠状动脉“隧道”,为患者打通心脏“生命线”。
老伯多病缠身,“心”悬一线
“走路都会感到气不够用、或者呼吸困难,有时候甚至胸部会出现压迫感或紧缩感,好像有人站在胸口上一样。”李伯痛苦地表示,为了治疗冠心病辗转多家医院都难以有效地控制病情。
前段时间,李伯的“老毛病”再次发作,被家属紧急送医,在当地医院进行冠脉造影检查和初步的治疗后,李伯的病情并没有得到缓解,心衰反而再次加重了。绝望之际,当地医生建议家属转院至茂名市人民医院,“茂名市人民医院的心血管内科是区域内的‘名专科’,转送那里医治或许会有办法。”得知这个消息后,家属立即决定将李伯转至到茂名市人民医院心血管内科,寻求治愈的希望。
救治压力大,治愈疾病的决心更大
入院时,患者病情危重,外院的冠脉造影结果显示血管病变十分严重,而且对于介入治疗能否取得良好效果,还取决于病人的体质和基础疾病等因素。手术技术难度大、意外风险高,带给专家团队的救治压力是巨大的。
心血管内科专家对患者病情进行了充分讨论:造影明确提示严重的左主干+三支病变,超优势的右冠脉中段闭塞段长,钙化程度高,保守药物治疗是一个保险的策略。但是陈哲林考虑到家属希望彻底解决顽固性心绞痛的诉求,也深知这类患者所承受的巨大痛苦,在全面评估了患者的病情后,选择介入手术开通右冠脉的方案,全力以赴满足患者期待取得良好预后的意愿。
“要解决心脏的问题患者才有可能恢复到比较好的生活状态,开通慢性闭塞的右冠脉是最关键、最有效的一步。结合我们团队的技术力量,我们有信心、也有能力将风险控制到最低。”陈哲林说。面对救治压力,他带领心血管内科专家团队反复研究造影资料,结合病情展开了深入讨论,制定了详尽的手术方案,为术中可能出现的问题做好充分准备,也为病人术后制定细致的恢复计划,得到了病人与家属的充分理解和支持。
逆向“搭桥”,再上“心”台阶
手术由陈哲林主持。术中,专家团队历时两个多小时,对术中出现的血压下降、心率变慢等并发症进行了快速、有效的处置,依靠最高难度的逆向介入技术,完美地开通了慢性闭塞的右冠脉。

▲陈哲林在为患者手术

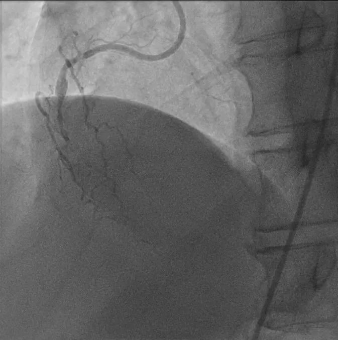
▲右冠脉闭塞情况(治疗前)

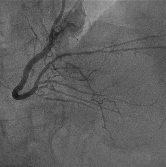
▲右冠状动脉“隧道”成功开通
“看过几家医院之后,知道我的病很难治好,感谢茂名市人民医院心血管内科团队能够给我新生,特别是陈哲林副院长,不但为我治病,还像亲人一样站在我的角度为长远的生活思考,同担风险、帮助我渡过难关......”术后,躺在床上的李伯虽然仍旧很虚弱,但他的眼中闪烁着对未来生活的憧憬与希望,感激之情溢于言表。
冠脉慢性闭塞性病变(CTO)被公认为是冠脉介入领域难度最高的技术“堡垒”“最后一道难关”,对团队技术水平、配合能力及术中的灵活处置等要素要求非常高,攻克这一难关,是茂名市人民医院心血管内科团队在诊治高难度病例方面取得的又一成绩,更体现了该团队在急危重症、复杂冠脉病变介入技术方面的技术高度,将为本地及周边更多患者提供更优质的医疗服务。
此文转载自2023年8月8日,茂名市人民医院微信公众号服务号
扫一扫 手机端浏览

