看茂医|在心尖上“拆弹”!突破极限为超高龄患者重燃“心”生
这是一个怎样的专科团队?他们运用丰富的临床经验和精湛的手术技术水平一次次突破技术难关,挽救了无数患者的生命,曾成功救治了一名出生仅3天、体重3.7kg的危重先心患儿,为患儿重燃“心”生。
近日,他们再次攀登技术高峰,突破超高龄手术难区,成功地为一名90岁老翁实施心脏外科手术、摘除心脏肿瘤,及时挽救了他的生命。
他们,是茂名市人民医院心血管外科团队。
90岁老人心脏发现肿物手术切除成难题
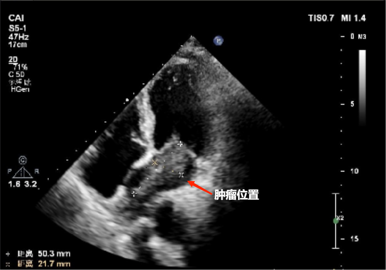
今年7月份,家住化州的洪爷爷突发气促,被家人送到茂名市人民医院治疗。入院后,呼吸与危重症医学科一区的主管医生李晓才接诊了洪爷爷并第一时间为洪爷爷进行了细致检查及病史询问,检查结果发现洪爷爷的左心房长了一个直径大约有5厘米的肿物。呼吸与危重症医学科一区遂邀请心血管外科陈景伟主任团队参加会诊、制定手术方案。
会诊过程中,陈景伟结合影像检查结果及多年丰富的临床经验,判断洪爷爷这颗心脏肿物为心脏粘液瘤可能性大。肿瘤碎屑脱落可能导致脑血管、心肌血管及下肢动脉等循环血管的栓塞,并且由于该肿物体积较大,已经坠入二尖瓣开口,如不尽快进行手术切除,一旦二尖瓣开口突然堵塞,洪爷爷将面临生命危险。但对洪爷爷这种已经有90岁的高龄、全身各器官功能已处于退化阶段,且患有慢性阻塞性肺病40余年的患者来说,要为他完成心脏外科手术,是一个严峻考验。

“只要还有一线希望,我们都想全力争取。”洪爷爷的家属说。
术前,专家团队为洪爷爷进行了全面的术前评估,制定了手术方案及术中突发状况预防应对措施,同时与患者家属进行了充分沟通。谨慎、周密计划获得了家属的理解和支持,并表示希望能够尽快为洪爷爷进行手术。
从手术治疗到康复出院,心血管外科团队协同助力
手术由陈景伟主刀。术中,手术团队成功为洪爷爷摘除了埋藏在心头多年的“定时炸弹”,肿物病理为心房粘液瘤,证实了陈景伟术前的判断。
术后,洪爷爷被送往外科重症医学科进行密切观察和治疗,术后当天便拔除气管插管、脱离了呼吸机,不久便转到心血管外科普通病房继续医治。在心血管外科医护人员的精心疗理下,洪爷爷术后复查各项指标良好,已于日前顺利康复出院。
此文转载自2023年9月13日,茂名市人民医院微信公众号服务号
扫一扫 手机端浏览

