科室动态 - 脊柱外科一区

您的位置: 脊柱外科一区 科室动态
  • 献礼建院65周年丨茂医学术周记(2025年10月第三周)

    献礼建院65周年丨茂医学术周记(2025年10月第三周)

    本周,我院脊柱外科、新福门诊部分别举办了茂医建院65周年暨医院高质量发展系列学术活动——“茂名市医学会脊柱外科学分会学术年会暨换届选举会议”“茂名市第六届复发性流产规范诊治培训班”,进一步加强医院的学术氛围建设。一、市医学会脊柱外科...

    发布时间:2025-10-21|来自:全栏目管理员
  • 幼童命悬一线,茂医“技术+心理”双线救援
    发布时间:2025-10-20|来自:全栏目管理员
  • 小科普大健康丨警惕青少年脊柱侧弯,守护孩子“直”线成长

    当孩子含胸驼背地看书时...当书包沉重压弯了腰时...脊柱侧弯——一个无声却可能给青少年带来终身影响的问题,正威胁着越来越多孩子的脊柱健康!脊柱侧弯正在危害着青少年人群的身体健康,早发现、早治疗是关键。本期科普,茂医小助手邀请到了茂名市...

    发布时间:2025-08-04|来自:全栏目管理员
  • 我院举办茂名地区青少年脊柱侧弯暑假筛查义诊

    我院举办茂名地区青少年脊柱侧弯暑假筛查义诊

    为切实关注青少年脊柱健康,提高脊柱侧弯早筛早诊率,普及科学健康理念,7月19日上午,我院外科系统第二党支部、脊柱外科一区举办了主题为“守护脊柱健康,护航青春成长”的茂名地区青少年脊柱侧弯暑期筛查义诊活动。据悉,本次义诊本次活动聚焦6-1...

    发布时间:2025-07-23|来自:全栏目管理员
  • 义诊预告丨青少年高低肩?驼背?茂医“脊柱侧弯筛查”来啦

    义诊预告丨青少年高低肩?驼背?茂医“脊柱侧弯筛查”来啦

    “孩子最近走路肩膀一高一低?”“总说腰背酸痛直不起身?”“怀疑自己有脊柱侧弯但不知去哪看?”别错过!一次难得的免费健康福利来啦!为了帮助更多可能患有脊柱侧弯的青少年实现早发现、早干预、早治疗,茂名市人民医院脊柱外科一区将于2025年7...

    发布时间:2025-07-15|来自:全栏目管理员
  • 百岁老人告别腰痛,医生:早诊早治是关键!
    发布时间:2025-07-01|来自:全栏目管理员
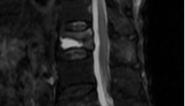
  • 省医在茂名 名医零距离丨颈椎病险致瘫痪?专家提醒→

    省医在茂名 名医零距离丨颈椎病险致瘫痪?专家提醒→

    “当初果断选择做手术的决定是正确的!感谢省医昌耘冰教授团队以及茂医脊柱外科一区医护团队的共同帮助,治好了我的脊髓型颈椎病......”在茂名市人民医院脊柱外科病房内,53岁的林伯(化名)开心地向医护人员致谢。近日,在广东省人民医院(以下简...

    发布时间:2024-09-23|来自:全栏目管理员
  • 省医在茂名名医零距离丨茂医“柔性引进”省医脊柱外科昌耘冰团队

    省医在茂名名医零距离丨茂医“柔性引进”省医脊柱外科昌耘冰团队

    茂名市人民医院(以下简称“茂医”)作为本土与广东省人民医院(以下简称“省医”)医疗资源连接的纽带,继续加强广东省人民医院联动,通过“柔性引进名医博士”项目,引进了多位在省内外相关领域具有一定影响力的省医名专家、名医。近日,茂医再次...

    发布时间:2024-08-29|来自:全栏目管理员
  • 微创之光|茂医脊柱外科:以微小切口解决患者腰椎间盘突出大问题

    微创之光|茂医脊柱外科:以微小切口解决患者腰椎间盘突出大问题

    “手术效果真好!今早起来发现腰腿不痛了,请问今天我可以起床活动了吗?”术后第二天早上查房时,34岁的杨先生激动地询问茂名市人民医院脊柱外科一区主任医师梁晓,兴奋之情溢于言表。据了解,杨先生被严重的腰椎间盘突出症困扰折磨了一年多,右腿...

    发布时间:2024-07-18|来自:全栏目管理员
  • 茂名少年脊柱先天“S形”17年,手术后终于“挺起脊梁”
    发布时间:2023-12-14|来自:全栏目管理员