本周,我院心血管内科、耳鼻喉科、呼吸与危重症医学科以及神经外科分别举办了“广东省医学会学术直通车-心血管病学茂名行”暨“第十九期广东省心血管名医大查房”“茂名市医学会耳鼻咽喉头颈外科学分会换届大会暨耳鼻咽喉头颈外科学术培训班”“202...
写给茂名市人民医院的一封信“请接受一名已有48年党龄的老党员的致敬......贵院有这么优秀的医疗团队,茂名市人民医院会成为整个粤西地区的医疗明珠。”—茂名市人力资源社会保障局退休公务员、共产党员陈少萍写于9月29日、10月25日两封感谢信,洋...
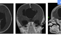
“周主任,这是我家宝宝近况的视频......恢复得特别好!真心感谢医院多学科专家和医护团队的帮助。”近日,茂名市人民医院神经外科三区主任周向阳博士团队收到了患儿家长发来一段视频,视频里的宝宝十分可爱、健康,难以想象在一个多月前他曾患过一...
我院是国家卫健委脑卒中高危人群筛查与干预项目基地,并先后建成国家高级卒中中心以及国家卫生健康委神经介入建设中心,医院神经内科、神经外科、神经重症医学科技术力量雄厚,是医院的“明星专科”团体。其中,神经内科是广东省重点临床专科、2020...