颅内“拆弹”|患儿仅三个月大!茂医多学科协作,引流成功!
“周主任,这是我家宝宝近况的视频......恢复得特别好!真心感谢医院多学科专家和医护团队的帮助。”
近日,茂名市人民医院神经外科三区主任周向阳博士团队收到了患儿家长发来一段视频,视频里的宝宝十分可爱、健康,难以想象在一个多月前他曾患过一场严重的病......
3个月宝宝突然全身抽搐不止 一查颅内竟有巨大囊肿压迫
患儿小王(化名)刚满3个月大,据小王的父母描述,小王出生以来身体状况一切正常。一天,小王在家中突然出现了全身抽搐不止的癫痫症状,吓坏了的爸爸妈妈赶忙将小王送到茂名市人民医院医治。
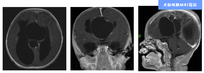
神经外科三区主任周向阳博士团队接诊了小王。通过影像检查,发现小王的颅脑中线区有多发蛛网膜囊肿伴脑积水。
“蛛网膜囊肿不会变成肿瘤、也没有侵袭性,绝大多数的不会导致任何症状。但少数的囊肿会生长占据过多的颅腔空间从而引发一系列并发症,需要通过手术治疗。小王尚且只有3个月大,囊肿就显著生长、压迫到了正常脑组织,甚至引发癫痫,这种情况是比较少见的。”周向阳说。

小王的病情不仅少见,还是神经外科三区开科以来收治患者中年龄最小的孩子。生长发育未完全的颅脑,让麻醉、手术施行、创口控制、术后护理都成了医疗团队必须逐个击破难题和挑战。团队迎难而上,术前邀请医院麻醉科、儿科、有关医技科室及临床营养科专家参与会诊,根据小王的病情及身体状况制定手术方案,并提出了“术前到术后全程管理”的诊疗模式,以更好地为小王“护航”。团队与家属充分沟通治疗事宜,细致、专业的方案与医护人员温和、耐心的态度缓解了家属的焦虑,也赢得了他们对手术的充分信任与支持。
手术由周向阳主刀。周向阳团队采取“双镜”结合的手术方法,运用显微镜与脑室镜分别完成了脑内蛛网膜囊肿的切除及第三脑室、囊肿病灶的造瘘引流,据颅脑MRI提示:囊肿病灶已被成功切除,脑积水情况也得到了有效缓解。术后,在神经外科三区联合多学科团队的精心治疗与护理照料下,小王的病情一天天好转,肢体抽搐等癫痫症状再也没有出现,身体各项指标水平很快达到了出院标准。

“小王痊愈出院前,我们纷纷为他送上衷心的祝福,祝愿可爱的小王顺顺利利康复,健康快乐地长大。”周向阳说。“相较于成年人蛛网膜囊肿的治疗,儿童的年龄小、器官发育不成熟、免疫力低,行外科手术时往往需要麻醉科、儿科等多学科团队的支持。”
据了解,神经外科三区主要以脑肿瘤等疑难、复杂神经外科疾病的诊治为学科建设方向。目前,针对一些疑难、复杂的儿童神经外科病例的诊治常规化开展多学科协作的治疗模式,综合各参诊学科的治疗意见制定个体化治疗方案,使患儿获得良好的手术预后。神经外科三区将继续在该领域深耕,以期帮助更多有需要的患儿。
此文转载自2023年12月13日,茂名市人民医院微信公众号服务号
扫一扫 手机端浏览

