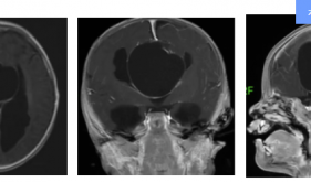
神经外科三区是医院成立较为年轻的科室之一,是茂名市临床重点专科(神经外科)的亚专科病区,以神经系统肿瘤的个体化综合治疗为专业特点。目前,专科柔性引进了周向阳博士担任神经外科三区科室主任,并汇集了一支高素质、专业化的医疗团队,致力于为患者提供全面、精准的神经系统疾病诊疗服务,同时以先进的治疗理念和技术手段为特色,不断引进和创新诊疗方法,为患者提供更加安全、有效的治疗方案。神经外科三区致力于以神经内镜技术(微侵...
写给茂名市人民医院的一封信“请接受一名已有48年党龄的老党员的致敬......贵院有这么优秀的医疗团队,茂名市人民医院会成为整个粤西地区的...
主任医师