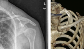
茂名市人民医院骨外科自1989年成立以来日益发展壮大,2017年7月再次细分专业, 着力打造高水平创伤专业,成立创伤骨科。创伤骨科技术力量雄厚,现有主任医师两名,副主任医师两名,副主任护师一名,主治医师三名,博士一名,硕士五名。科内引进粤西首台天玑骨科机器人,实现手术智能化,微创化。引进各种国内最先进的医疗设备及各种微创手术器械。科室在粤西地区率先开展复杂性骨盆髋臼骨折的微创治疗、严重多发骨折的微创治疗、应用3D打印...
“医生,我的腿骨折了,痛了几天了,为什么还不给我安排手术呢?”“医生,我家孩子的手骨折后都肿成这样了,怎么还不给他安排手术啊?”日...
主任医师
副主任医师