改善患者就医体验丨茂医“老朋友”骨科机器人助力手术切口“隐形”
近日,茂名市人民医院创伤骨科团队成功运用“天玑”骨科手术机器人为一名左锁骨骨折的中年女性患者实施微创手术,这是该院创伤骨科团队运用骨科手术机器人进行术式创新的又一次成功尝试。
前不久,41岁的患者梁姨在家中意外跌倒,本以为只是小伤,却没想到碰撞的部位越来越痛,疼痛难忍的梁姨在家人的陪同下来到茂名市人民医院就医,经过检查后才发现,梁姨的左锁骨中段已经骨折了!

▲术前影像提示左锁骨中段斜行骨折
为减缓患者疼痛、减少手术创伤、促进患者术后快速康复、提高骨折固定稳定性,经创伤骨科林世磅主任团队综合评估病情后,决定借助天玑骨科手术机器人进行微创手术治疗,为患者制定个性化的手术方案——骨科机器人辅助下左锁骨骨折闭合复位弹性髓内钉内固定术。
“锁骨骨折是临床上常见的骨折之一,发病率高。人体锁骨的表面软组织较薄,传统的手术治疗需大切口进行显露,造成了一定的骨折不愈合率,同时皮肤的瘢痕及二次手术取出内固定都会影响到患者的就医体验,也容易带来一系列并发症。而使用机器人辅助微创手术,能真正实现微创、精准、快速、美观,切口小,术后恢复快,也不影响美观。”林世磅主任介绍。

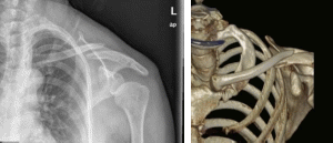
手术当天,在林世磅主任的指导和规划下,由创伤骨科黄复铭主治医师主刀,运用天玑骨科手术机器人为患者梁姨成功进行了骨科机器人辅助下左锁骨骨折闭合复位弹性髓内钉内固定术。术后X光提示骨折复位满意,固定牢靠,手术切口仅1cm小切口,几乎“隐形”,术后五天患者各项功能即恢复良好。

▲术后切口小,仅1cm

▲术后第5天,患者功能恢复良好
“‘天玑’骨科手术机器人是我们的‘老朋友’了,我们团队近几年已经开展了很多例机器人辅助骨科手术,在机器人的辅助下进行手术具有出血少、创伤小等临床显著优势,能帮助我们骨科医生完成一系列真正意义上的骨科精准微创手术。”林世磅主任表示,一直以来,茂名市人民医院创伤骨科团队在医疗技术上不断创新,持续突破。自2019年粤西首台“天玑”骨科机器人落户茂名市人民医院至今,已成功开展多例应用骨科机器人微创治疗多发骨折的手术,为茂名地区广大患者带来越来越多智能化、精准化、高品质的微创治疗服务,不断改善患者的就医体验,造福广大患者。
此文转载自2024年10月12日,茂名市人民医院微信公众号服务号
扫一扫 手机端浏览

