我院是国家卫健委脑卒中高危人群筛查与干预项目基地,并先后建成国家高级卒中中心以及国家卫生健康委神经介入建设中心,医院神经内科、神经外科、神经重症医学科技术力量雄厚,是医院的“明星专科”团体。其中,神经内科是广东省重点临床专科、2020...
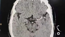
2个星期前,怀孕36+4周的准妈妈钟女士突发脑出血,紧急送到茂名市人民医院,在多学科协作奋力抢救下,这位危重孕产妇从危险边缘拉回,成功挽救了一大一小两条生命。不明原因头痛呕吐竟是脑出血4月18日晚上,钟女士在家洗头后不久,突然觉得右侧头痛...
1月10日,广东省卫生健康委员会下发《广东省卫生健康委关于公布2021—2022年广东省临床重点专科建设项目的通知》(粤卫医函〔2023〕2号),公布2021-2022年度省级临床重点专科建设项目遴选结果,茂名市人民医院消化内科、神经内科、心血管内科、重...
日前,2022年度茂名市企(事业)科学技术奖评审结果揭晓,茂名市人民医院19项科技成果榜上有名,荣获一等奖2项(全市共5项)、二等奖6项(全市共9项)、三等奖11项(全市共33项),所获奖项数量几近全市获奖总额半数,是全市获奖数量最多、奖项名次...
岭南名医杨职神经内科主任医师、教授,中山大学和南方医科大学兼职硕士研究生导师,国家卫健委脑防委“突出贡献专家”茂名市人民医院院长助理,脑科中心主任;是中国卒中学会脑小血管病分会委员,广东省医学会神经病学分会常务委员,广东省医师协会...
“能够恢复得这么好,出乎我们的意料,感谢茂名市人民医院!”神经内科一区病区内,张先生(化名)及家属向医护人员连声致谢。近日,茂名市人民医院神经内科一区廖耿主任医师团队运用颅内药物涂层球囊救治了一位“脑梗死”患者,手术取得了圆满成功...